近日,甘肃省第二人民医院神经疾病中心成功救治一名突发大量脑出血患者,经过急诊手术与系统康复,患者意识恢复清醒,肢体功能明显改善,可独立下地行走,痊愈出院。
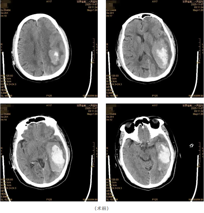
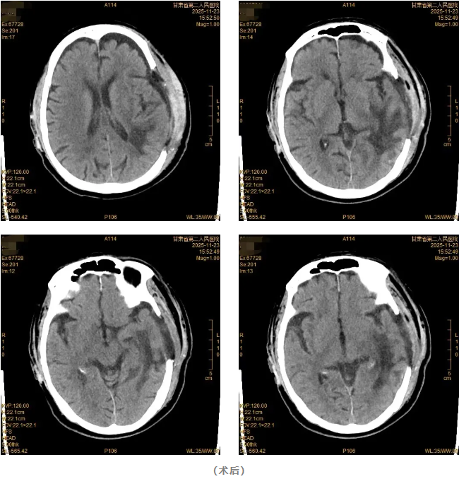
该患者因“突发意识不清伴右侧肢体无力9小时”由120急救车送至我院。急诊查头颅CT显示:左侧颞顶叶脑出血,出血量约70ml。神经疾病中心团队迅速完善术前准备后,急诊为患者施行开颅血肿清除手术。手术过程顺利,术后患者意识逐渐恢复清醒,复查头颅CT确认颅内血肿已清除。

术后早期,患者在重症监护室(ICU)接受严密监护与治疗,生命体征平稳后转入普通病房继续康复。在神经疾病中心医护团队的精心治疗与康复指导下,患者肢体力量逐步好转,能够在辅助下下地行走,恢复进展良好。

本例大量脑出血患者的成功救治,充分体现了甘肃省第二人民医院神经疾病中心在危急重症脑血管疾病方面的综合救治能力与多学科协作水平。从院前急救、急诊手术到术后康复,团队始终坚持以患者为中心,凭借快速的反应机制、精湛的手术技术和规范的康复管理,为患者赢得了宝贵的救治时间,最大程度促进了神经功能的恢复。
脑出血起病急、进展快,致死致残率高。甘肃省第二人民医院神经疾病中心提醒广大市民,一旦出现突发头痛、呕吐、肢体麻木无力、言语不清或意识障碍等症状,务必立即拨打120,及早送至具备救治条件的医院,争取最佳治疗时机。
我院神经疾病中心将继续秉持“生命至上”的原则,不断提升医疗服务质量,为守护陇原百姓神经系统健康贡献力量。
微信公众号
微博
头条