刘先生,今年27岁,在青海省格尔木市工作,两年前开始出现气短、胸闷不适,反复发作,在当地医院就医,诊断为“支气管哮喘”,给予吸入激素等支气管扩张剂并输液等治疗效果不佳,胸片检查未发现异常,气短进行性加重,进一步行胸部CT检查,发现左主支气管圆形新生物堵塞,考虑为支气管异物,当地医院评估后无法处理,经介绍前来到甘肃省第二人民医院就诊。
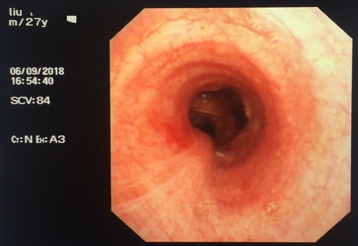
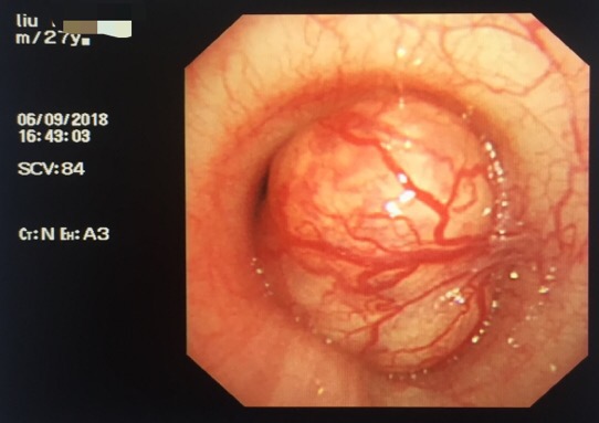
入院后,柳小平主任带领呼吸内科团队,行气管镜检查,发现左主支气管球形病灶完全阻塞管腔,且表面血管较丰富,做好术前评估,考虑到肿瘤较大,切除时有大出血或窒息的风险,遂在全麻下软硬镜联合切除肿瘤组织,手术过程顺利。组织病理检查结果:多形性腺瘤。
术后患者气短缓解缓解,从而结束了长达2年的“哮喘”治疗历程。本人和家属对柳小平主任呼吸内科团队的精准治疗连连点赞。
温馨提示:年轻患者如出现以胸闷、气短为主要症状的呼吸系统疾病,在诊断支气管哮喘时一定要排除其他原因引起的症状!如肿瘤为良性肿瘤,支气管中央型腺瘤首选内镜下切除。
如果您或者您的家人有呼吸系统的疾病,可以拨打甘肃省第二人民医院呼吸内科健康咨询电话:0931-4928407


微信公众号
微博
头条